
สรุปข่าว
วันนี้ (16 ก.ย.64) นพ.มนูญ ลีเชวงวงศ์ แพทย์เฉพาะทางด้านโรคระบบการหายใจ โรงพยาบาลวิชัยยุทธ เผยรายงานในต่างประเทศปอดรั่วเองทั้ง 2 ข้างหลังติดเชื้อไวรัสโควิด-19 พบน้อยมาก เกิดขึ้นเองไม่เกี่ยวข้องกับการใส่เครื่องช่วยหายใจ
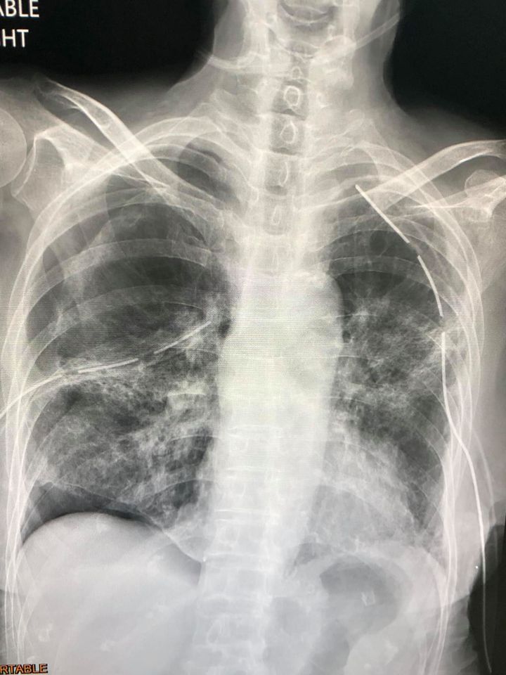
ล่าสุดพบผู้ป่วยไทยปอดรั่วเองทั้ง 2 ข้าง เป็นผลจากการที่เนื้อปอดถูกทำลายโดยเชื้อไวรัสโควิด-19 โดยเป็นผู้ป่วยหญิงไทยอายุ 77 ปี ไม่สูบบุหรี่ ปกติแข็งแรง ไม่มีปัญหาทางปอด ยังไม่ได้ฉีดวัคซีนป้องกันโรคโควิด

- วันที่ 8 กรกฎาคม มีไข้ ไอ เหนื่อย ปอดอักเสบทั้ง 2 ข้างจากโรคโควิด-19 ได้รับการรักษาด้วยยาและออกซิเจน ไม่ได้ใส่เครื่องช่วยหายใจ
- วันที่ 30 กรกฎาคม 22 วันหลังเริ่มป่วย มีอาการเหนื่อยมากขึ้นจากปอดข้างซ้ายรั่วเอง ต้องใส่ท่อระบายลม ถอดท่อระบายลมออก
- วันที่ 9 สิงหาคม ปอดอีกข้างรั่วเอง
- วันที่ 18 สิงหาคม ต้องใส่ท่อระบายลม
- วันที่ 23 สิงหาคม ปอดข้างซ้ายรั่วอีก ต้องใส่ท่อระบายลมอีกครั้ง

- วันที่ 28 สิงหาคม ถอดท่อระบายลมข้างซ้าย
- วันที่ 31 สิงหาคม ปอดข้างซ้ายรั่วอีก ต้องใส่ท่อระบายลมครั้งที่ 3
- วันที่ 2 กันยายน ทำคอมพิวเตอร์สแกนปอดพบพังผืดทั่วปอดร่วมกับหลอดลมเล็กๆโป่งพอง
- วันที่ 10 กันยายน ได้ทำการผ่าตัดปอดข้างขวาเพราะปอดขวาไม่ขยายตัวเต็มที่ ด้วยการส่องกล้องเข้าไปในช่องทรวงอกข้างขวา พบถุงลมพองโตที่ผิวของยอดปอดข้างขวาด้านบนและด้านล่าง ต้องตัดปอดเฉพาะส่วนนั้นและเย็บปิด ตัดเยื่อหุ้มปอดด้านขวา ใส่แป้งทัลค์ เข้าช่องปอดขวา และผ่านท่อระบายลมข้างซ้าย เพื่อให้เยื่อหุ้มปอดข้างขวาและซ้ายติดกัน
และส่งชิ้นเนื้อปอดตรวจทางพยาธิวิทยา พบว่า เนื้อปอดถูกทำลาย มีทั้งอักเสบและพังผืดทั่วไป มีถุงลมพองในเนื้อปอด ขณะนี้ยังต้องใส่ท่อระบายลมทั้งสองข้าง

ทั้งนี้ นพ.มนูญ ยังได้แนะนำด้วยว่า ผู้ที่ยังไม่ได้ไปฉีดวัคซีนป้องกันโควิด-19 เพราะกลัวผลข้างเคียงของวัคซีน ขอให้ดูผู้ป่วยรายนี้เป็นตัวอย่างที่ไม่ได้รับการฉีดวัคซีน ปอดถูกทำลายเสียหายอย่างมาก ปอดรั่ว 2 ข้างต้องนอนในโรงพยาบาลนานกว่า 2 เดือนแล้ว
ดังนั้น จึงขอให้ทุกคนให้รีบไปฉีดวัคซีน หลังฉีดถึงแม้จะติดเชื้อ ก็จะป่วยเหมือนเป็นหวัด เจ็บคอ คัดจมูก มีน้ำมูก จาม เชื้อไม่ลงปอด ไม่ป่วยหนักถึงขั้นเข้าโรงพยาบาลหรือเสียชีวิต
ข้อมูลและภาพจากเฟซบุ๊ก หมอมนูญ ลีเชวงวงศ์ FC
- โควิด NB.1.8.1 เป็นสายพันธุ์หลักในไทยแล้ว มีแนวโน้มมากขึ้น
- วัคซีนโควิด-19 ไม่ถูกถอดจากรายชื่อวัคซีนแนะนำในสหรัฐฯ
- โควิด-19 ระบาดหลายภูมิภาค! "สายพันธุ์ NB.1.8.1" แพร่กระจายเร็ว อย่าชะล่าใจ
- สถานการณ์โควิดป่วยสะสมพุ่ง 2.5 แสนราย สายพันธุ์ NB.1.8.1 ระบาดแรง
- กรมวิทย์ฯ คาดโควิดสายพันธุ์ NB.1.8.1 กลายเป็นสายพันธุ์หลักที่ระบาดในประเทศไทยและทั่วโลก
- “หมอยง” เปิดข้อมูลโควิดสายพันธุ์ล่าสุดที่พบในกทม. ติดต่อง่าย แพร่กระจายเร็ว
ที่มาข้อมูล : -
TNNThailand

