
สรุปข่าว
วันนี้ ( 28 ต.ค.65) นพ.มนูญ ลีเชวงวงศ์ แพทย์เฉพาะทางด้านโรคระบบการหายใจ โรงพยาบาลวิชัยยุทธ โพสต์ข้อความผ่านแฟนเพจเฟซบุ๊ก หมอมนูญ ลีเชวงวงศ์ FC ระบุว่า
“ปอดติดเชื้อจากการหายใจสปอร์เชื้อราที่เจริญงอกในเมล็ดข้าวโพด”
ผู้ป่วยชายอายุ 66 ปี ไอ เสมหะสีเหลืองเขียว มีไข้ต่ำๆ เหนื่อย หายใจวี๊ดๆ 10 วัน ประวัติเป็นโรคหลอดลมอุดกั้นเรื้อรัง เคยสูบบุหรี่ 2 ซอง/วัน หยุดสูบ 4 ปี เป็นโรคหัวใจขาดเลือด ทำผ่าตัดบายพาสหลอดเลือดหัวใจ 3 เส้น 4 ปีก่อน กินยาสเตียรอยด์ต่อเนื่อง 1 ปี เพราะเหนื่อยหายใจลำบาก ผู้ป่วยมีอาชีพรับซื้อขายข้าวโพดเลี้ยงสัตว์ และขายปุ๋ยเคมี (ดูรูป)

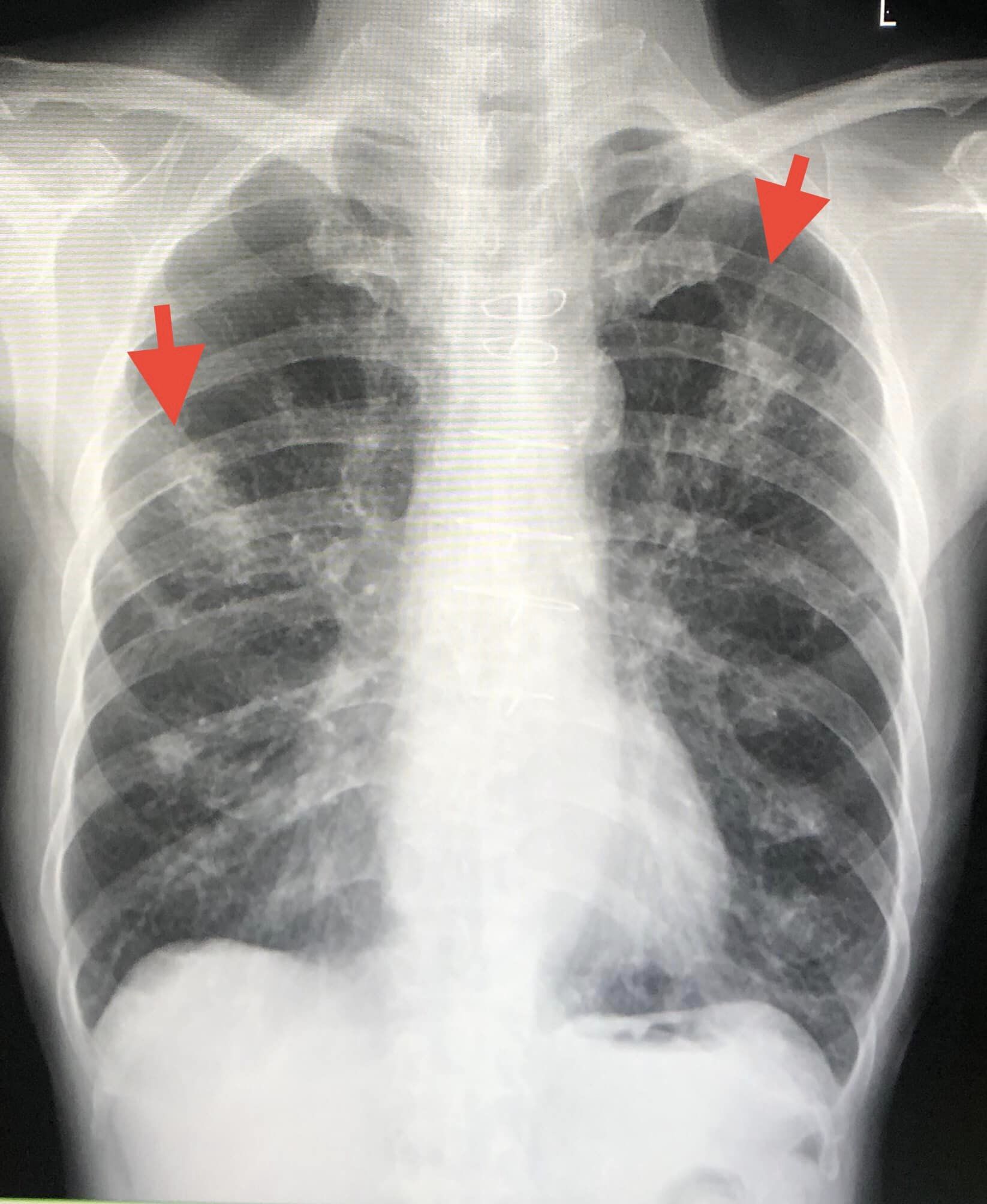
ตรวจร่างกาย ไม่มีไข้ อุณหภูมิ 37 องศาเซลเซียส ฟังปอดมีเสียงวี๊ด เอกซเรย์ปอด มีปื้นขาวเล็กๆในปอด 2 ข้าง (ดูรูป) คอมพิวเตอร์สแกนปอดมีฝ้าหลายจุดกระจายในปอด 2 ข้าง (ดูรูป) ทำหัตถการส่องกล้องเข้าไปในหลอดลม( Bronchoscopy) พบเสมหะเหลืองข้นเหนียวมากในหลอดลมทั้ง 2 ข้าง ดูดออกมาได้เยอะมาก ส่งน้ำล้างปอด ย้อมไม่พบเชื้อวัณโรค ย้อมพบเชื้อราสาย เพาะเชื้อราขึ้นเชื้อรา Aspergillus fumigatus และ Rhizopus spp. (ดูรูป) ส่งน้ำล้างปอด bronchial Aspergillus galactomannan antigen ให้ผลบวก

สรุป: ปอดอักเสบเกิดจากการติดเชื้อรา ได้ให้ยาฆ่าเชื้อราตัวใหม่ Isavuconazole ซึ่งมีราคาแพงมากสามารถครอบคลุมฆ่าเชื้อราได้ทั้ง 2 ชนิด หลังกินยาผู้ป่วยดีขึ้นช้าๆ ไอน้อยลง เหนื่อยน้อยลง
ผู้ป่วยมีภูมิคุ้มกันต่ำจากการกินยาเสตียรอยด์ต่อเนื่องเป็นปี บ้านของผู้ป่วยติดกับโกดังเก็บข้าวโพดเลี้ยงสัตว์ ผู้ป่วยหายใจสปอร์ของเชื้อราที่เจริญงอกในเมล็ดข้าวโพดเข้าไปในปอด ต้องให้ยาฆ่าเชื้อราตัวใหม่ต่อเนื่องนานหลายเดือน จนกว่าเอกซเรย์ปอดกลับมาเป็นปกติ

ข้อมูลจาก : หมอมนูญ ลีเชวงวงศ์ FC
ภาพจาก : หมอมนูญ ลีเชวงวงศ์ FC
- ปอดอักเสบ หรือ ปอดปวม ผู้สูงอายุ เด็กเล็ก ต้องระวังติดเชื้อรุนแรงอันตรายถึงชีวิต
- "ไข้หวัดใหญ่" ฉีดวัคซีน ลดความเสี่ยงเกิดภาวะแทรกซ้อนได้
- วัณโรค กินยาไม่ครบ อาจดื้อยา เสี่ยงเป็นซ้ำ ?
- ปอดอักเสบจากติดเชื้อแบคทีเรีย! หมอ ยกเคสหญิงวัย 86 ปี ป่วย 5 สัปดาห์เสียชีวิต
- "ปอดเป็นฝ้าขาว" ติดเชื้อไมโคพลาสมา ยังไม่มีวัคซีนป้องกัน เช็กสัญญาณอาการ ?
- พบ ภาวะปอดอักเสบจากการสูบบุหรี่ไฟฟ้า ในคนอายุน้อยมากขึ้น
- ยกเคส คนไข้วัย 52 ปี ป่วยปอดอักเสบ ซักประวัติพบให้อาหาร "นกพิราบ" เป็นประจำ
ที่มาข้อมูล : -
TNNThailand
